

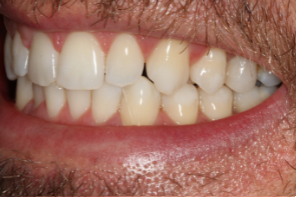
¿Qué es el blanqueamiento dental?
El blanqueamiento dental es un tratamiento de odontología estética que tiene por objetivo eliminar las manchas dentales y hacer que la dentición adquiera una tonalidad más blanca y brillante. Es un método muy eficaz, ya que maneja tecnologías precisas y componentes blanqueantes bajo el control de un dentista.
¿Cómo se hace un blanqueamiento dental?
Existen tratamientos de blanqueamiento dental a base de peróxido de hidrógeno y peróxido de carbamida, estos son un productos se activan con la luz halógena aplicada a cada diente del paciente. El tratamiento dura entre media y una hora, el resultado dependerá de cada persona según el criterio del operario, hay diferentes factores a tomar en cuenta para concluir una recomendación: como la tez de la piel, color de las mucosas, color de restauraciones, coronas u otro material en boca que pueda hacer matiz, entre otros…
«El Blanqueamiento dental es un procedimiento que es indoloro, en algunos pacientes provoca sensibilidad pero esta puede ser controlada siempre y cuando se haga una anamnesis correcta para detectar estos detalles y puedan ser discutidos antes de la consulta»
Dr. Daniel Espinoza Villarroel
LAS HISTORIAS MÁS RECIENTES


