
Estética dental y Fundador de Villarroel Dental Studio
Dr. Daniel Espinoza Villarroel
Graduado en la Universidad del Zulia en el año 2015, se ha estado especializando en estética dental desde entonces obteniendo la licencia Digital Smile Design, diplomado en estética dental y diferentes rotaciones con los mejores especialistas de la ciudad.
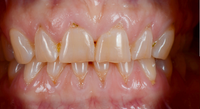
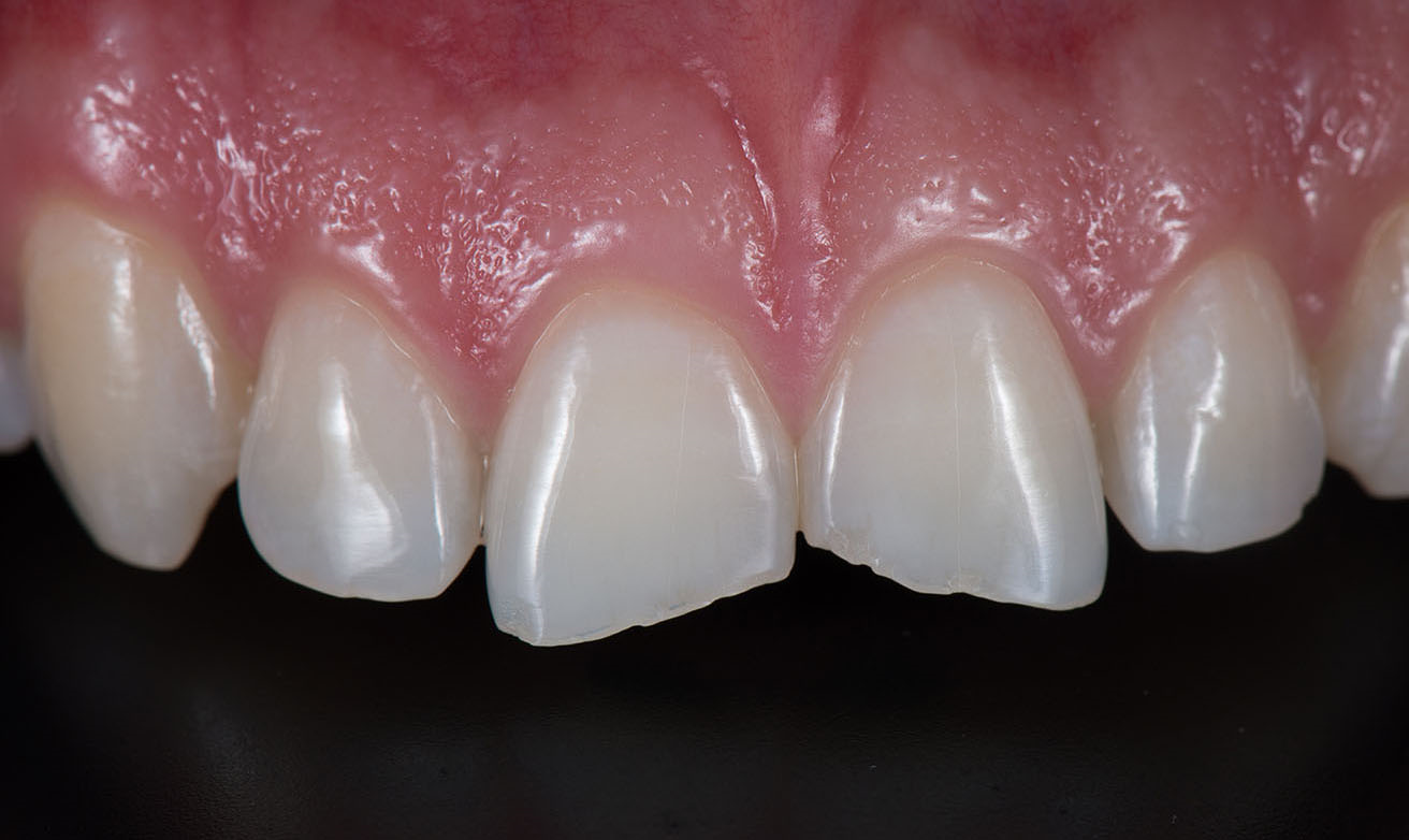
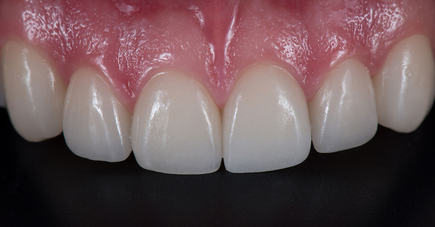
El Dr. Espinoza Villarroel se especializa en la estética mínimamente invasiva, realiza carillas en resina sin desgaste dental manteniendo así la anatomía natural del diente; Por medio de la licencia «Digital Smile Design» se planifican carillas de discilicato de litio obteniendo un resultado altamente estético, preciso, resistente y de la mejor calidad en el mercado.














